
Do I Really Need Dental Implants?
Missing one or more teeth can affect more than just your smile—it can impact your confidence, your ability to enjoy your favorite foods, and even your long-term oral health. At Twin Oaks Family Dental, we see this every day.
Even with great brushing, flossing, and regular checkups, life happens. Accidents, illness, stress, aging, or decay can lead to tooth loss—and sometimes, it’s just plain bad luck. But no matter the reason, there’s a solution.
Dental implants offer a permanent, natural-looking way to restore your smile and protect your oral health for years to come. Whether you’ve lost one tooth or several, Dr. Blake Ferando and our team in O'Fallon, MO specialize in creating confident, healthy smiles with advanced implant dentistry.
A Patient Review of Dental Implants at Twin Oaks Family Dental

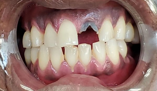
Before

After

Before

After

Before

After

Why Dental Implants Are the Gold Standard for Replacing Missing Teeth
- They Look Completely Natural - Your smile should look like you—not like you have dental work. Implants are custom-designed to blend seamlessly with your natural teeth so no one will ever know you had work done.
- They Feel Comfortable and Pain-Free - Eating shouldn’t be a struggle. Once your implant has healed, it feels just like a natural tooth—so you can enjoy your favorite foods without irritation or discomfort.
- They’re Easy to Care For - No slipping dentures, no nightly soaking routines. Just brush and floss as you would with your natural teeth, and your implants stay strong and healthy for decades.
- They Protect Your Oral Health - Implants go beyond replacing teeth—they help prevent bone loss and gum irritation, keeping your mouth healthier compared to removable dental appliances.
- They Can Last a Lifetime - With proper care, dental implants are designed to last for life—making them the most reliable and cost-effective long-term solution.
How Do Dental Implants Work?
At Twin Oaks Family Dental, Dr. Blake Ferando has helped countless patients in O'Fallon, MO restore their smiles with advanced dental implant technology. If you’ve been searching for a permanent, natural-looking way to replace missing teeth, here’s how the process works.
Dental implants start with a small titanium post that is carefully placed in your jawbone—this acts like a brand-new tooth root, providing strength and stability that other tooth replacement options simply can’t match. Over time, the implant fuses naturally with your bone, creating a rock-solid foundation for your new tooth.
Once your implant is secure, Dr. Blake designs a custom dental crown that blends seamlessly with your surrounding teeth, restoring both the look and function of your smile. And thanks to our same-day crown technology, you can often leave our office with your permanent tooth the very same day—no waiting weeks for a lab to finish your crown.
With dental implants, you can chew, smile, and speak with total confidence knowing your replacement tooth looks, feels, and performs just like the real thing.

What Type Of Dental Implant Do I Need?

Single Dental Implant

Implant Retained Dentures

All-On-4/Permanent Implant Bridge

What if I Don’t Have Enough Bone for a Dental Implant?
- 3D Imaging & Consultation: Detailed scans to assess bone health and plan your procedure.
- Bone Grafting & Sinus Lifts: Advanced techniques to restore lost bone where implants will be placed.
- Personalized Treatment Plans: Custom solutions designed for long-term comfort, strength, and aesthetics.
Understanding the Cost of Dental Implants
- Long-Term Value: Unlike dentures or bridges that need replacements, implants can last decades with proper care.
- Confidence & Comfort: No slipping, no restrictions—just stable, natural-looking teeth.
- Better Oral Health: Implants preserve bone and protect surrounding teeth from shifting or damage.
- Affordable Options: With flexible payment plans, the smile you deserve may be easier to afford than you think.


